Mercoledì, 22 Aprile 2026

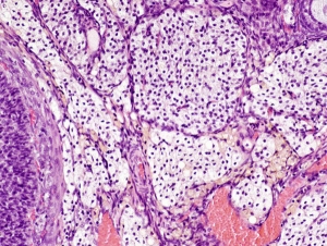
Scoperto un nuovo organo nel corpo umano: l'interstizio

Pubblicato in MAGAZINE
Giovedì, 29 Marzo 2018 15:45
Roma, 29 marzo 2018 - Rivoluzione in arrivo in anatomia, con la scoperta di un nuovo organo, tra i più grandi del corpo umano: si chiama interstizio e si trova diffuso in tutto l'organismo, sotto la pelle e nei tessuti che rivestono l'apparato digerente, i polmoni, i vasi sanguigni e i muscoli. E' formato da cavità interconnesse piene di liquido e ...
Libera: nel 2025  in Calabria spesi oltre 6miliardi in gioco d'azzardo

Libera: nel 2025 in Calabria...

Catanzaro, 18 aprile 2026 - In Calabria, nel 2025 si è "giocato" d'azzardo una cifra pari a 6.172.265.586 in aumento rispetto all'anno precedente quando erano...

Mercuri: "Lamezia ripensi ad istituire una sua Provincia autonoma"

Mercuri: "Lamezia ripensi ad istituire...

Lamezia Terme, 17 aprile 2026 - "L’atto di indirizzo per la redazione di un documento programmatico pilota riguardante l'area “Città-territorio dei due Mari Catanzaro-Lamezia”, approvato...

Soveria Mannelli, verso la riapertura dell'ambulatorio di oncologia

Soveria Mannelli, verso la riapertura...

Soveria Mannelli, 17 aprile 2026 - L’Azienda sanitaria provinciale di Catanzaro annuncia la riattivazione dell’ambulatorio di oncologia nel presidio ospedaliero di Soveria Mannelli. "La riapertura...

Progetto "Città-Territorio dei Due Mari", Stella: “Occorre anche rinominare la Provincia in Catanzaro-Lamezia Terme”

Progetto "Città-Territorio dei Due Mari",...

Lamezia Terme, 16 aprile 2026 - "Stupisce molto in dibattito in atto in questi giorni più che altro sulla stampa, intorno al solito e strumentalizzato...

Lamezia, il 25 aprile sarà svolto regolarmente il servizio porta a porta

Lamezia, il 25 aprile sarà...

Lamezia Terme, 14 aprile 2026 - La Lamezia Multiservizi rendono noto che in occasione della ricorrenza nazionale di sabato 25 aprile il servizio porta a...

Corecom Calabria: decisiva la certificazione dell'età sui siti per adulti

Corecom Calabria: decisiva la certificazione...

Catanzaro, 13 aprile 2026 - "La petizione promossa dal Corecom Calabria per limitare l’accesso libero e incontrollato dei minori ai siti per adulti ha raccolto...

Lamezia, sequestrata discarica abusiva in un terreno privato

Lamezia, sequestrata discarica abusiva in...

Lamezia Terme, 11 aprile 2026 - I carabinieri di Lamezia Terme principale, affiancati dai militari dei Nuclei forestali di Lamezia Terme e Serrastretta, hanno individuato...

Lamezia, Nordio dà via libera a nomina Romano a procuratore. Domani seduta Plenum Csm

Lamezia, Nordio dà via libera...

Lamezia Terme, 7 aprile 2026 - Il ministro della Giustizia Carlo Nordio ha dato il suo concerto alla nomina di Elio Romano a procuratore della...

CITTA'

Mercuri: "Lamezia ri...

17 Aprile 2026
Mercuri: "Lamezia ripensi ad istituire una sua Provincia autonoma"

Lamezia Terme, 17 aprile 2026 - "L’atto di indirizzo per la redazione di un documento programmatico...

LAMETINO

Soveria Mannelli, verso l...

17 Aprile 2026
Soveria Mannelli, verso la riapertura dell'ambulatorio di oncologia

Soveria Mannelli, 17 aprile 2026 - L’Azienda sanitaria provinciale di Catanzaro annuncia la riattiva...

CALABRIA

Libera: nel 2025 in Calab...

18 Aprile 2026
Libera: nel 2025  in Calabria spesi oltre 6miliardi in gioco d'azzardo

Catanzaro, 18 aprile 2026 - In Calabria, nel 2025 si è "giocato" d'azzardo una cifra pari a 6.172.26...

SPORT

Serie D, pareggio 1-1 tra...

19 Aprile 2026
Serie D, pareggio 1-1 tra Vigor Lamezia e Messina. Salvezza rimandata per i biancoverdi

Lamezia Terme, 19 aprile 2026 - La Vigor Lamezia impatta ancora dopo il recupero di mercoledì scorso...

contatti logo

Copyright 2010- © LAMEZIA TERME NEWS
Testata giornalistica registrata presso il Tribunale di Lamezia Terme
Reg. Stampa n° 7/10 del 3.12.2010
Editore: Asd Violetta Club - PI: 02148570795

 

logo amp

Web By ALGOSTREAM